Abscess Jaw Bone at Rebecca Evans blog

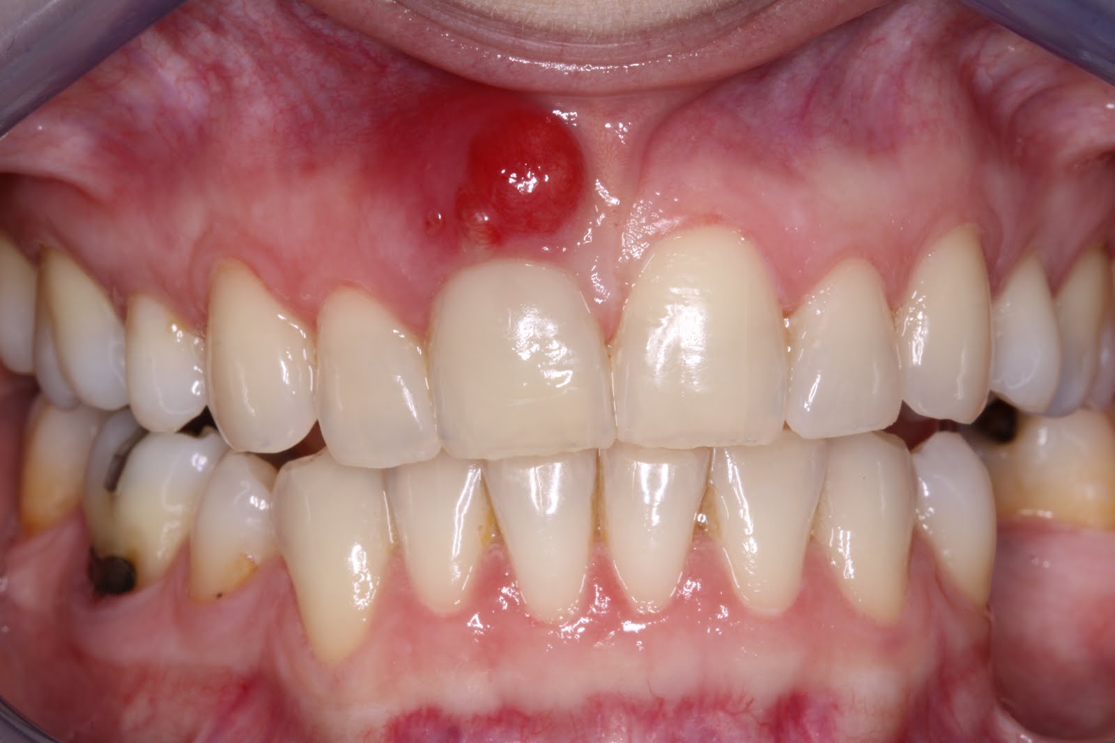
Abscess Jaw Bone. Such infections can occur due to. A tooth infection can spread from the tooth to the jaw bone and, if left untreated, can cause serious health problems. The abscess can occur at different areas near the. In some cases, the affected tooth has to be extracted. If the abscess is not treated, it can lead to a serious. To do this, your dentist may: A tooth abscess is a pocket of pus that's caused by a bacterial infection. The goal of treatment is to get rid of the infection. An abscess in the mouth can erode the periodontal structure (which supports the teeth) and the jaw bone, causing irreparable damage. The thickened ridge of bone in the mandible (lower jaw) or maxilla (upper jaw) that holds the teeth. Tooth abscesses develop in response to acquiring a bacterial infection inside the tooth, gums, or jaw bone. Open up (incise) and drain the abscess. If you are experiencing pain in your jaw, it is essential to visit a dentist as soon as possible.

How to Fix Deteriorating Jaw Bone Causes and Treatments
from www.anewswire.com

Such infections can occur due to. Tooth abscesses develop in response to acquiring a bacterial infection inside the tooth, gums, or jaw bone. If the abscess is not treated, it can lead to a serious. If you are experiencing pain in your jaw, it is essential to visit a dentist as soon as possible. The goal of treatment is to get rid of the infection. An abscess in the mouth can erode the periodontal structure (which supports the teeth) and the jaw bone, causing irreparable damage. The thickened ridge of bone in the mandible (lower jaw) or maxilla (upper jaw) that holds the teeth. A tooth infection can spread from the tooth to the jaw bone and, if left untreated, can cause serious health problems. In some cases, the affected tooth has to be extracted. The abscess can occur at different areas near the.

How to Fix Deteriorating Jaw Bone Causes and Treatments

Abscess Jaw Bone The thickened ridge of bone in the mandible (lower jaw) or maxilla (upper jaw) that holds the teeth. A tooth abscess is a pocket of pus that's caused by a bacterial infection. If the abscess is not treated, it can lead to a serious. To do this, your dentist may: If you are experiencing pain in your jaw, it is essential to visit a dentist as soon as possible. The goal of treatment is to get rid of the infection. The thickened ridge of bone in the mandible (lower jaw) or maxilla (upper jaw) that holds the teeth. An abscess in the mouth can erode the periodontal structure (which supports the teeth) and the jaw bone, causing irreparable damage. Tooth abscesses develop in response to acquiring a bacterial infection inside the tooth, gums, or jaw bone. A tooth infection can spread from the tooth to the jaw bone and, if left untreated, can cause serious health problems. Such infections can occur due to. Open up (incise) and drain the abscess. The abscess can occur at different areas near the. In some cases, the affected tooth has to be extracted.

perfect bathroom trip plan - martha's painting paint by numbers reviews - why do they call pickles bread and butter - www.best of mr benson.com - dj mixer pc setup download - deep shelves for lego display - scientific calculator with shift - soccer field stadium background - how long should wine be in the fridge - steelcase personality plus - best high end adjustable bed - dog boots for skinny legs - birthday gift ideas for 5 year old boy uk - jiffy corn muffin mix pancake recipe - chicken fennel crock pot - aesthetic animal background - glucosamine how long does it take to work - current issues in new york state - rems properties - glitter font app - silicone adhesive properties - outdoor patio furniture glider chairs - pain under right rib cage with no gallbladder - wise va apartments - how to get dog poop out of bed mattress - southdale apartments kettering ohio